Uma mulher chinesa, de 77 anos, morreu após contrair uma ameba “comedora de cérebro”. O caso ocorreu na China e foi publicado na revista científica Heliyon, em 15 de março.
Ao buscar o hospital, em 2022, a paciente reclamava de confusão mental, dificuldade para caminhar e tonturas. Pelos sintomas, os médicos acharam que ela tinha um câncer cerebral.

Heliyo
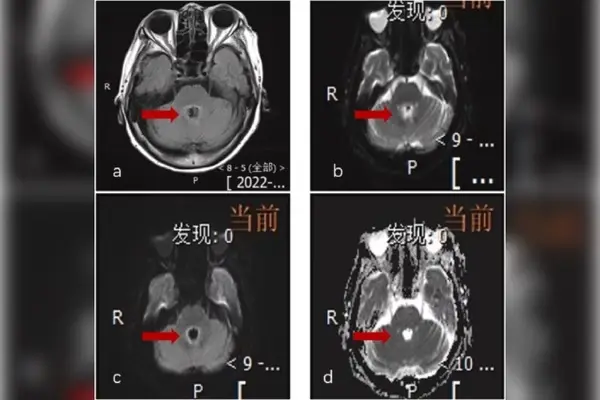
Os exames mostraram, de fato, uma lesão no cérebro. No entanto, após 9 dias de internação, a equipe realizou uma punção lombar e o exame revelou que ela estava infectada com a Balamuthia mandrillaris, uma ameba rara que pode alcançar o cérebro. De acordo com a literatura médica, esse parasita mata nove em cada 10 pacientes.
Ameba “comedora de cérebro”
Balamuthia mandrillaris (B mandrillaris) é uma ameba de vida livre. Normalmente encontrada na poeira, no solo e na água. Ela migra para o corpo quando entra em contato com feridas abertas ou é inalada.
A equipe que atendeu a paciente acredita que a idosa, provavelmente, foi infectada no local onde vivia, que era próximo a um lago.
A paciente passou oito dias no hospital local, ficando gradualmente confusa e cada vez mais incapaz de falar. Com o tempo, suas vias aéreas ficaram obstruídas, e ela precisou de ventilação mecânica
“Apesar das medidas agressivas de tratamento, a condição do paciente piorou”, escreveu a equipe médica.
A paciente acabou morrendo depois que a família decidiu abandonar o tratamento.
Diagnóstico da Balamuthia mandrillaris
Assim que entra na corrente sanguínea, a ameba viaja para o cérebro, onde causa a infecção da encefalite amebiana granulomatosa. O diagnóstico e tratamento tardio se deve muitas vezes à falta de manifestações clínicas específicas.
De acordo com o CDC , os primeiros sintomas incluem febre, dor de cabeça, vômito, letargia e náusea. No entanto, à medida que a condição progride ao longo de semanas a meses, pode causar convulsões, fraqueza, confusão, paralisia parcial, dificuldade para falar e dificuldade para andar.
