Durante o desenvolvimento embrionário, os mamíferos (a maioria deles) crescem na cavidade do útero da mãe. Esse ambiente vai se dilatando e desenvolvendo ao longo da gravidez para abriga a criança.
Contudo, um estudo de caso publicado no The New England Journal of Medicine mostrou um caso raríssimo em que um bebê colocou as pernas para fora do útero da mãe durante o desenvolvimento.

Os médicos relataram que a mãe, de 33 anos, não apresentou qualquer sintoma aparente de que algo estivesse errado.
Contudo, durante um ultrassom de rotina, os médicos observaram o caso bizarro que aparece na capa desta matéria.
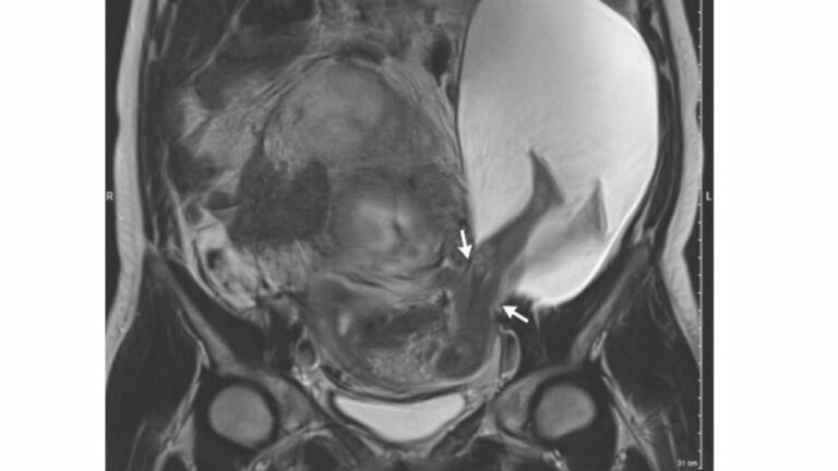
Acontece que o bebê, então com 25 semanas de idade, causou um rompimento no útero da mãe, esticando suas pernas para a cavidade abdominal.
Uma ressonância magnética posterior mostrou que o útero sofrera uma ruptura de 2,5 centímetros. Desse modo o feto projetou as pernas e parte do abdômen para fora do útero da mãe.
Esse caso de ruptura uterina, relatam os autores, é extremamente raro. Estimativas mostram que apenas 0,5% de todos os casos de gravidez podem apresentar essa eventualidade.
Cesarianas e ruptura do útero
A mãe em questão, que teve sua identidade preservada, já havia passado por outras cinco cirurgias cesarianas. Os médicos acreditam que, apesar da raridade do evento, os processos cirúrgicos no útero podem ter deixado o tecido enfraquecido.
Esse tipo de ruptura, por conseguinte, pode ter consequências fatais, levando-se em consideração a proximidade do bebê de órgãos vitais da mãe. Apesar disso, todavia, 5 semanas após o diagnóstico, a mãe passou por outra cirurgia cesariana, dessa vez para retirar o fujão prematuro do seu útero.

O bebê nasceu saudável com 1,4 quilogramas e sem mais complicações nos seis meses seguintes em que o estudo acompanhou ambos. Logo após o nascimento do bebê, inclusive, a mãe passou por uma cirurgia de reparo do útero, para o fechamento da fissura causada pelo feto. Surpreendentemente, ela teve alta do Hospital Universitário Angers, na França, 5 dias após o ocorrido.
Com informações de IFLScience. O estudo está disponível no periódico The New England Journal of Medicine.
