Em caso raríssimo, menino nasce com dois pênis e passa por cirurgia; entenda

Um caso raríssimo na medicina ocorreu no Uzbequistãoum menino de 7 anos nasceu com dois pênis e precisou passar por uma cirurgia para corrigir o problema. O caso foi recentemente divulgado na revista científica “Science Direct”.

A operação ocorreu em outubro. O nome da condição, difalia, ocorre uma vez a cada 5 ou 6 milhões de nascimentos; em todo o mundo, há apenas cerca de 100 casos registrados. A causa do problema não é bem definida.

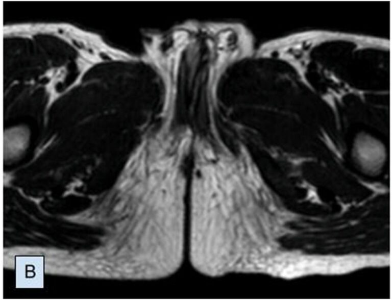
O pênis é formado por três cilindros: dois corpos cavernosos, que ficam juntos um do outro lateralmente, e um no meio, que é o corpo esponjoso, que é onde está a uretra dentro“, explica o urologista Ubirajara Barroso Jr, especialista em reconstrução genital e chefe de cirurgia reconstrutiva de uretra do Hospital das Clínicas da Universidade Federal da Bahia (Ufba).

No caso da difalia verdadeira, que é a do menino uzbeque, “dois pênis completamente normais são formados, ou seja, cada um com seus dois corpos cavernosos e o corpo esponjoso, e também com sua glande”, completa o médico. Em outros tipos de difalia, essa configuração pode ser um pouco diferente.

“Esses pacientes [com difalia verdadeira] têm duas uretras, urinam em jatos separados, mas é como se fosse um Y invertido. Essa uretra une e vai de uma posição só na bexiga – uma saída só na bexiga, aí ela se bifurca com dois órgãos genitais masculinos”, explica o médico.

Para corrigir o problema, quem vai fazer a cirurgia escolhe um dos pênis para ser retirado – o mais robusto ou desenvolvido, se houver diferença entre os dois. “Na maior parte das vezes, eles são muito parecidos um com o outro”, completa Ubirajara Barroso Jr.

Vida normal com dois pênis é possível

 

O urologista explica que, geralmente, a cirurgia para retirada de um dos pênis pode ser feita a partir dos seis meses de idade.

No caso do menino do Uzbequistão, que só passou pela operação aos 7 anos, pode ter havido problemas no acesso à saúde, por exemplo.

“A princípio, não há uma necessidade de esperar muito tempo para corrigir – se tiver todo o diagnóstico, porque, para você saber quantos corpos cavernosos [existem], precisa ter uma ressonância magnética para avaliar”, pondera.

Por outro lado, é possível, também, levar uma vida normal tendo dois pênis.

“Ele pode viver com dois pênis. Não seria muito comum, mas é possível viver – não há nenhum prejuízo à saúde. Ele pode ter alguma dificuldade, talvez, depois, de penetração”, aponta.

O menino não sofria, por exemplo, de problemas de incontinência urinária – que não costuma ocorrer apenas por existirem dois órgãos genitais, e sim quando há problemas associados.

“O problema, em si, não causa incontinência. Não tem razão de haver disfunção erétil, porque a inervação é normal. A vascularização é normal”, explica Ubirajara Barroso Jr.

Na operação, os cirurgiões uniram as uretras, e também não houve problemas de incontinência no pós-operatório. Segundo o urologista, a cirurgia é “muito mais uma reconstrução”, que não traz risco adicional de continência da urina ou à função erétil.

Sem ânus

Um problema que pode acontecer ao mesmo tempo que a duplicação do pênis é a imperfuração do ânus, ou seja, a pessoa nasce sem o ânus. Foi o caso do menino, que teve o problema corrigido em uma cirurgia anterior, logo após nascer.

“Há uma má-formação muito associada [à difalia] que é o ânus imperfurado, ou seja, uma pessoa que nasce sem ânus. Consequentemente, o intestino não tem como escoar para fora e aí é preciso, ao nascimento, fazer uma derivação – pegar o intestino, colocar para fora, até, depois, reconstruir esse trânsito”, explica Ubirajara Barroso Jr.

“E isso tem uma implicação, porque, dos ânus imperfurados, 30% têm uma alteração da formação da medula dos nervos que vão para a bexiga”, completa. Nesses casos, pode haver incontinência.

PUBLICIDADE